審美治療
審美治療について

通常の歯科治療よりもより見た目の改善を重視される患者さまにおすすめするのが審美治療です。
当院では以下のようなご希望の患者さまが来院されています。
来院される患者さまのご希望
- 何年か前に詰めた銀歯を白くしたい
- 歯と歯ぐきの間の黒い部分を
キレイにしたい - 前歯の形や色、向きが気になる
- 全体的に歯を白くしたい
- 1本だけ色の違う歯が気になる
- 被せ物の材質の比較
上質なセラミックによる審美治療
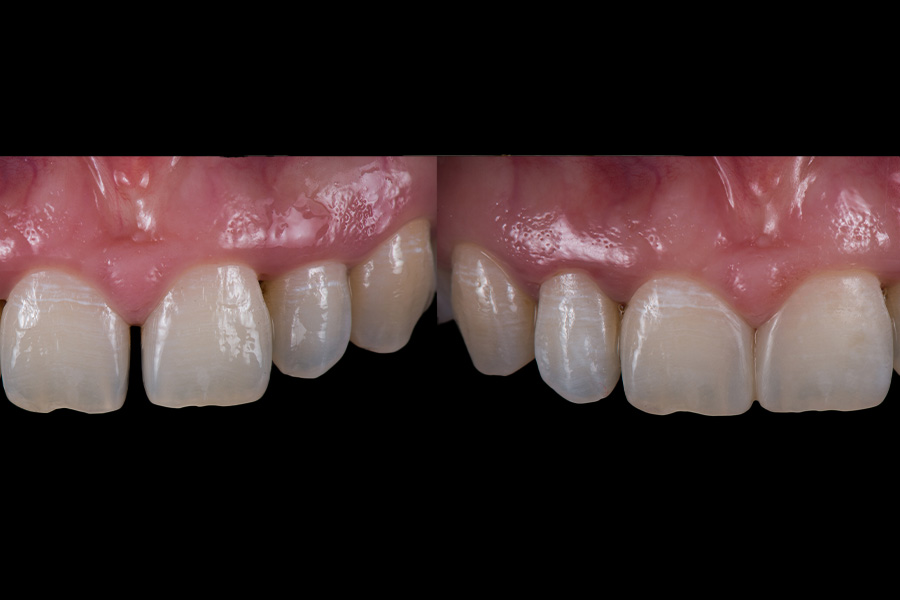
見た目の改善を重視する審美治療では、「セラミック」による詰め物、被せ物が主流となっています。上質なセラミックは自由診療(保険適用外)の治療となりますが、保険適用の材質よりも天然の歯に近い色を出すことが可能です。
患者さまのご希望に合わせたご提案をしておりますので、ご興味のある方はお気軽にご相談ください。
当院の審美治療の
特徴について
機能性も重視した
“長く持つ”審美治療
見た目の美しさだけでなく、噛み合わせや歯茎との調和まで考えた治療を行っ
ています。
その場限りの見た目だけ整えても長持ちしなければ意味がありません。将来的なトラブルを防ぐ設計を大切にしています。

カウンセリング重視で
“納得して選べる”
歯の色、形など患者さんの理想は人それぞれです。
当院では丁寧なカウンセリングを行い、複数の治療方法をご提案したうえで、一緒に最適な選択をしていきます。

“自然で美しい”仕上がり
透明感、色調、形まで細かく調整。いかにも作り物の歯ではなく、周囲の歯と歯茎になじむ自然な仕上がりを目指します。

メンテナンスまで
“トータルサポート”
美しさを維持するためには、治療後のケアがとても大切です。
当院では歯科衛生士によるセルフケアの指導・メンテナンスまでしっかりサポートします。

歯の修復材料の
種類について

保険と自費の審美治療の違い
審美歯科では「保険診療」と「自費診療」では、使用できる材質や仕上がり、治療の自由度に違いがあります。
見た目の自然さ・美しさ
| 保険 | 使用できる材料が限られている。 色や透明感の再現に制限がある。 時間の経過で変色することが多い。 |
| 自費 | 審美性の高い材料を使用できる。 透明感や色調を細かく再現できる。 天然歯のような自然な仕上がり |
耐久性・長持ちのしやすさ
| 保険 | プラスチックの素材。 すり減り、変色が起こりやすい。 |
| 自費 | 強度の高いセラミックなどを使用。 長期間美しさを維持しやすい。 |
治療の自由度
| 保険 | プラ国の保険ルールに基づいた最低限の機能回復が目的。 治療方針や材料に制限がある。 |
| 自費 | 見た目・機能ともにこだわった治療が可能。 患者さんの希望にあったオーダーメイド治療。 |
被せ物の種類
インレー
虫歯を削った部分に詰める部分的な詰め物です。
主に神経を残せるケースや歯の一部だけを修復する場合に使用します。

クラウン
歯全体を覆う被せ物です。
虫歯が大きい場合や、歯の強度が弱くなっている場合、神経治療を行った場合に歯の保護・修復をするために行います。

ブリッジ
歯を失った部分を両隣の歯を支えにして補う治療法です。
橋(ブリッジ)のように人工の歯を繋げて装着することから、この名前がついています。

当院で使用する
修復材料について
歯の修復材料を詳しく理解した上で、ご自身のお口に合った治療を選択したい方はお読みください。
セラミック(ニケイ酸リチウム)
歯科で扱うセラミックの種類には、ガラス系セラミックと長石系セラミックに分かれます。
長石系セラミックの主成分は透明性のある長石であり、高い透明性と色調再現性に優れている一方で、長石系セラミックの強度は曲げ強度で約80〜120MPa程度です。そのため口腔内で使用するには強度が足りず割れやすいという特徴があります。

当院で扱うガラス系セラミックは、ガラスとセラミックの長所を結合した先進的な材料であり、熱膨張率がほぼ0。優れた対薬品性を有しているため、歯の修復物として使用した際、劣化をしづらく長期的に二次虫歯の発生を防ぐことができます。曲げ強度約400MPaであり、長石系セラミックと比べ高い強度があります。
そのため食事に使用する奥歯への治療にもケースによりますが使用できるようになっております。
オススメするケース
- 天然歯のような見た目を希望する方
- 長期的に虫歯の再発を防ぎたい方
- 金属アレルギーのある方
(メタルフリー)
オススメしないケース
- 食いしばり、歯ぎしりの癖がある方
- 神経のない歯
(透過率の高い材質のため、
黒ずんだ土台の歯の色が透けてしまう) - ブリッジ
(ブリッジにするには強度が足りず破折してしまう恐れが高い)
ジルコニア
当院で扱うジルコニア(二酸化ジルコニウム)は「人工ダイヤモンド」と呼ばれる程の強度と美しさを合わせもち、生体親和性が高くアレルギー反応を引き起こしにくい材質です。

一時代前のジルコニアは透明感がなく、前歯や審美歯科には不向きだったため、強度が必要な奥歯にのみ使用していました。
近年材料の進歩もあり強度と審美性を兼ね備えた材料となって、審美歯科においても使用されることが多くなっております。
オススメするケース
- 審美的な修復を希望する方
- 食いしばり、歯ぎしりの癖のある方
- 神経のない歯
(土台の歯の色を透かせない) - 長期的な虫歯の再発を防ぎたい方
- ブリッジ
(強度がある為適応可能)
オススメしないケース
- 天然歯のような見た目を求める方
(セラミックとの比較) - シビアな噛み合わせの調整が必要
ダイレクトボンディング
治療について

ダイレクトボンディング治療とは?
歯に直接白い樹脂(コンポジットレジン)を盛り付けて形を整える審美治療です。
型取りをせずその場で歯の色や形を再現できます。
小さい虫歯、小さく欠けた歯の修復、歯と歯の間の隙間(すきっ歯)の改善等、小さな範囲の見た目改善に適しています。
ダイレクトボンディング治療の
メリット
歯を削る量が少ない
1 日で治療が終わることが多い
型取りが不要
ダイレクトボンディング治療の
デメリット
経年で変色や
劣化が起こる事がある
広い範囲には不向き
強い咬合力がかかる部位では
欠けるリスクがある
ダイレクトボンディング治療で
よくある質問
Q. 前歯のすき間をダイレクトボンディング治療で治せますか?
A. 自然に改善できるケースが多くあります。
注意点として、隙間が大きい場合は不向きなことがあります。噛み合わせによって欠けたり外れたりするリスクがあります。
Q. かけた歯をダイレクトボンディング治療で治せますか?
A. 自然に改善できるケースが多くあります。
注意点として、範囲が大きい場合は不向きなことがあります。噛み合わせによって再び欠けたり外れたりするリスクがあります。
Q. ダイレクトボンディングと一緒に
ホワイトニングもできますか?
A. おすすめの順番は先にホワイトニング、
その後にダイレクトボンディングです。
使用する樹脂の色を後からホワイトニングで白くすることができないため、先に歯全体を白くしてから、その白さに合わせてレジンの色を調整することでより自然に統一感のある仕上がりになります。
Q. ダイレクトボンディング治療はどのくらいの時間がかかりますか?
また、何回通院する必要がありますか?
A. 1本あたり約30~60分。
1回で完了することが多いです
Q. ダイレクトボンディングで治療した歯を将来セラミックで治すことはできますか?
A. 可能です。
より審美性を求めたい、変色・劣化が気になる、欠けた・外れた時、長期的な安定を重視したい時
セラミック治療について

セラミック治療とは?
セラミックの素材を使って歯を修復する審美歯科治療です。虫歯だけでなく見た目の改善(色・形・隙間)などにも対応できます。
天然歯のような透明感と美しさ、変色しにくく長期間きれいを維持、汚れがつきにくく清潔を保ちやすいです。
当院におけるセラミック治療の特徴
見た目だけでなく、
機能性まで重視
白く美しいだけでなく、噛み合わせや歯茎との調和まで考えたセラミック治療を行っています。
長く快適に使えることを大切にしています。
自然で美しい仕上がり
セラミック特有の透明感を生かして周囲の歯になじむ自然な色・形を再現します。
いかにも治療した作り物の歯ではなく、もともとの歯のような仕上がりを目指します。
丁寧なカウンセリングと
オーダーメイド治療
患者さん1人ひとりのご希望(白さ・形・バランス)をしっかりお伺いし、複数の選択肢の中から最適な治療のご提案をします。
当院がセラミックスを
お勧めする理由
下記のようにセラミックス治療と銀歯との違いをまとめました。
虫歯の再発リスク
| 銀歯 | 金属の劣化によって生まれる隙間から虫歯の再発を起こしやすい。 |
| セラミック | 適合・接着性が高く歯としっかり密着。再発を抑えやすい。 |
見た目
| 銀歯 | 金属色で目立ちやすい、口を開けた時に気になることがある。 |
| セラミック | 白く自然な色合い、周囲の歯になじみ目立たない。 |
経年劣化の違い
| 銀歯 | 金属劣化が起きる、歯茎が黒ずんで見える場合もある。 |
| セラミック | 変色しにくく長期間きれいを維持、歯茎への影響も少ない。 |
汚れの付きにくさ
| 銀歯 | 表面に汚れがつきやすい。 |
| セラミック | 表面が滑らかで汚れがつきについため清潔な状態を保ちやすい。 |
金属アレルギーのリスク
| 銀歯 | あり。 |
| セラミック | 金属を使用しないため、金属アレルギーの心配が少ない。 |
セラミック治療でよくある質問
Q. セラミック歯は
何年ぐらい持ちますか?
A. 一般的には 15年前後。
注意点として適切なケアと噛み合わせのコントロールが必要です。
Q. セラミックの歯で、
見た目が自然になりますか?
A. セラミックは天然の歯のような
自然な見た目を再現できる素材です。
適切に作成・調整することで周囲の歯となじみほとんど違和感のない仕上がりになります。
Q. 保険の白い歯(レジン)と
セラミックの違いはなんですか?
A. 見た目・耐久性・
長期的な安定性に違いがあります。
レジン
ややマットな白さを持ち、透明感は少なく、時間とともに変色しやすい(黄ばむ)。
菌や着色が付きやすく、柔らかくすり減りやすい。
セラミックス
自然な透明感を持ち、色調を細かく再現できる。
長期的にきれいなしろさを保つことが可能で、表面が滑らかで菌が付きにく上、強度があり摩耗しにくい。
Q. セラミックの歯は、変色しますか?
A. 基本的に変色しにくい素材です。
長期間きれいな白さを保ちやすいのが特徴です。
Q. 1本から治療できますか?
A. 可能です。
気になる 1本だけを治療する方も多く、無理に複数本をすすめることはありません。
ラミネートベニアについて

ラミネートベニアとは?
歯の表面を薄く削り、薄いセラミックを貼り付けて見た目を整える治療です。
当院におけるセラミック治療の特徴
歯をできるだけ削らない
低侵襲治療。
歯への負担を最小限に抑えたラミネートべニアを心がけています。
必要最小限の切削で美しさと健康の両立を目指します。
自然で美しい仕上がり
透明感や色調を細かく調整し周囲の歯になじむ自然な見た目を再現します。
笑った時の見え方や顔のバランスまで考慮して設計します。
丁寧なカウンセリング
患者さんの希望をしっかり伺い、納得のいく仕上がりを一緒に作ります。
必要に応じてホワイトニング、セラミッククラウン、ダイレクトボンディングなども含めて最も自然で負担の少ない方法をご提案します。
当院がラミネートベニアを
お勧めする理由
下記のようにラミネートベニアとセラミックス矯正との違いをまとめました。
セラミック矯正
- 歯を全体的に大きく削る必要がある
- 歯の向きや歯並びの乱れの改善
- 大きく形を変えたい場合
ラミネートベニア
- 歯の表面を薄く削る必要がある
- 軽度の隙間や形の修正
- 色の改善をしたい場合
当院では見た目の改善だけでなく歯へのダメージを最小限に抑えることを重要
と考えております。
大きく歯の向きや歯並びを変えたい方はセラミック矯正だと神経をとる必要があることがあるため、あまりお勧めしていません。
神経を取ってしまうと歯の寿命がとても短くなってしまいます。
大きく削ってまで神経を取る必要のあるケースではまず歯の矯正治療を行ってから切削量の少ない方法での修復をお勧めしています。

ラミネートベニアでよくある質問
Q. ラミネートベニアは
何年ぐらい持ちますか?
A. 一般的には 10年前後。
注意点として適切なケアと噛み合わせのコントロールが必要です。
Q. ラミネートベニアは
色を選べますか?
A. 希望に合わせて選ぶことができます。
周囲の歯の色や肌の色、お顔の印象に合わせてご希望に沿ったご提案ができます。
Q. ラミネートベニアは
外れたりしませんか?
A. 通常の使用で簡単に外れることはありません。
外れる可能性があるケース
- 強い衝撃(ぶつける・転倒)
- 歯ぎしり食いしばりが強い
- 前歯で硬いものを噛む癖がある
Q. 歯はどれくらい削りますか?
A. 約 0.3~0.7mm ほどです。
薄く削るのが一般的です。
Q. ラミネートベニアは
虫歯にならないですか?
A. 土台となるご自身の歯が虫歯になる可能性はあります。
虫歯を防ぐために毎日の丁寧な歯磨き、フロス。定期的な検診・クリーニングが大切になります。
審美歯科治療の流れ
初回カウンセリング

精密検査

治療

メインテナンス

リスクと副作用

医療広告ガイドラインについて
当院では、患者様に安心して治療を受けていただくために、医療ガイドラインに基づき、自由診療に関する料金だけでなく、リスクや副作用についても正確にお伝えすることを大切にしております。
これらのリスク・副作用の中には、当院ではこれまで報告されたことがないものも含まれますが、万が一に備えて、医学的に考えられる可能性がある内容をすべて記載しております。
患者様の不安を煽ることが目的ではなく、むしろ「正しい情報を知っていただくことこそが、安心・納得の治療に繋がる」という考えのもと、ご案内しております。
万が一、治療についてご不安な点やご不明な点がございましたら、どんな些細なことでも遠慮なくご相談ください。当院スタッフが丁寧にご説明し、患者様の気持ちに寄り添った対応をさせていただきます。
セラミック治療
- セラミック治療は、健康保険適用外の100%自己負担(自由診療)となるため、健康保険適用の治療と比べ治療費が高額となります。
- セラミックの種類によっては、強い歯ぎしりや噛みしめにより、破損させてしまう場合があります。
- ジルコニア自体が割れてしまうのではなく、表面を覆っているポーセレンというセラミックが割れてしまうことのほうが多くあります。
- メタルボンドの場合は、歯と歯茎の境が黒く変色(ブラックマージン)してしまうことがあります。


