一般歯科
虫歯治療について

虫歯とは
歯の表面のエナメル質が溶け出し、進行するとエナメル質の下の象牙質、更には神経の通っている歯髄に侵食していきます。進行した虫歯は再生することがありません。初期段階では、痛みが出たりすることが少なく、自分で気がつくことは難しい為、歯科医院を受診することをお勧めします。
虫歯の原因について
原因はいわゆる虫歯菌です。代表的なものにミュータンス菌があります。砂糖や酸性の飲食物の過剰摂取や、ダラダラ食べ、不十分なブラッシングで酸を産生する細菌が繁殖しやすくなります。
治療の痛みに対する医院の
配慮について
歯肉表面に塗る表面麻酔を塗布して感覚を鈍らせてから、浸潤麻酔を打っていくことで、痛みを感じにくくしております。
虫歯治療の流れ
C1:エナメル質の虫歯
特徴
歯の表面のエナメル質が溶けている状態です。
エナメル質に限局しているため、自覚症状がないことがほとんどです。
見た目は白く濁っているか、茶色や灰色の穴が開き始める頃です。
治療内容
虫歯の大きさや症状の度合、その方のカリエスリスクによって異なります。
- 削って一部分に詰め物をする場合
- 削らずに進行抑制をする場合(フッ素塗布、歯磨き指導、食生活の見直し)

C2:象牙質の虫歯
特徴
エナメル質の下にある象牙質まで虫歯が進行している状態です。症状として、冷たいものや甘いものがしみる、黒い穴が開くなどがあります。エナメル質に限局していたC1とは違い、象牙質は柔らかいため、急速に進行しやすいため、早急に歯科医院を受診しましょう。
歯の神経まで虫歯が進行した場合は、根管治療をして神経を歯の中から除去する処置が必要になります。根管治療を行うと歯の寿命を大きく損なう為、如何にC2の段階で処置を受けるかがとても大切になります。
治療内容
虫歯の部分を除去し、窩洞の大きさや深さによって詰め物やかぶせ物をします。
治療の回数
素材により異なりますが、基本的に型取りをし、後日出来上がった補綴物をセットしますので、2〜3回の通院していただきます。
※知覚過敏の症状が強い場合など、神経を取る処置が必要になることがあります。

C3:歯髄まで進行した虫歯
特徴
虫歯が更に進行し、歯髄という神経が集まった組織まで感染が進行した状態です。
見た目は大きな穴になっていることが多いですが、小さい穴でも中に深く進行していることもあります。
神経まで感染しているため、強い痛みを生じるようになります。
治療内容
神経まで感染が進行しているため、根管治療を行います。
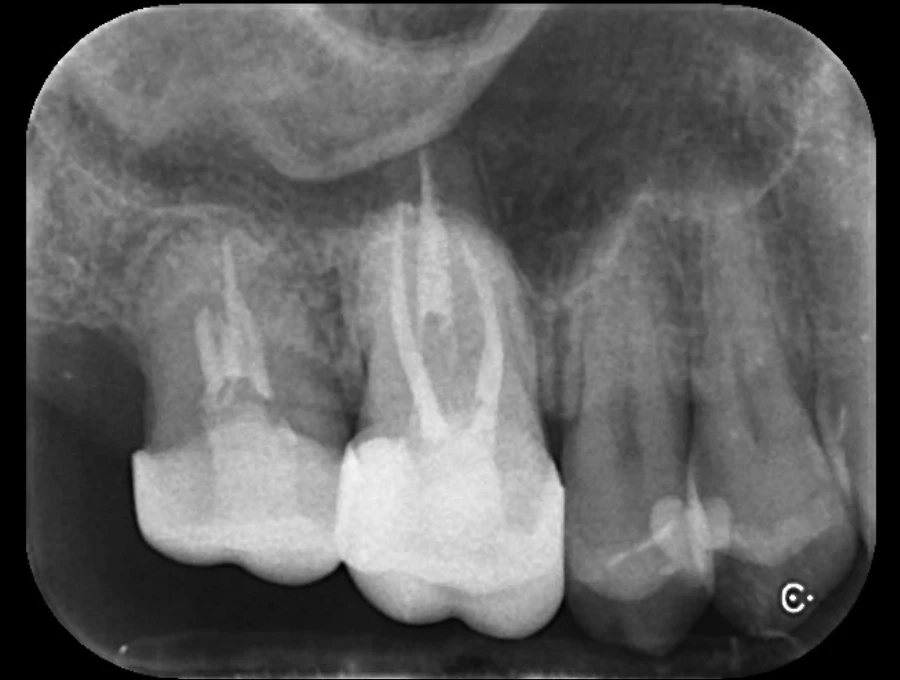
根管治療の流れ
レントゲンや視診で虫歯の進行度合を確認
局所麻酔
感染した歯髄の除去、根管の清掃
(消毒に2〜4回程来院が必要です)
根管内に充填材を詰める
土台を立てて型取り
かぶせ物の装着

C4:虫歯の進行より
根っこのみになってしまった虫歯
特徴
更に虫歯が進行し、歯の冠部分がほとんど崩壊して、根だけ残っている状態です。根の周囲に膿が溜まったり、周囲の歯茎が赤く腫れあがったりすることがあります。
治療内容
残念ながら、歯を保存することが困難なため、また周囲の健康な歯や歯周組織を守るためにも抜歯が一般的な治療法となります。
抜歯後の処置は、患者様の状態やニーズに応じて決めていきます(インプラント、ブリッジ、入れ歯)。
全体の噛み合わせのバランスや他の歯への影響があるため、抜いたままにすることは基本的にありません。

虫歯の予防法について
- 適切なブラッシングにより、主原因となる細菌を減らすこと
- 食生活の見直し(砂糖や酸性の飲食の頻度を減らす)
- 定期的な歯科検診をし、早期発見、早期治療を行うことで、削る歯の量が少なくて済む
虫歯治療 症例
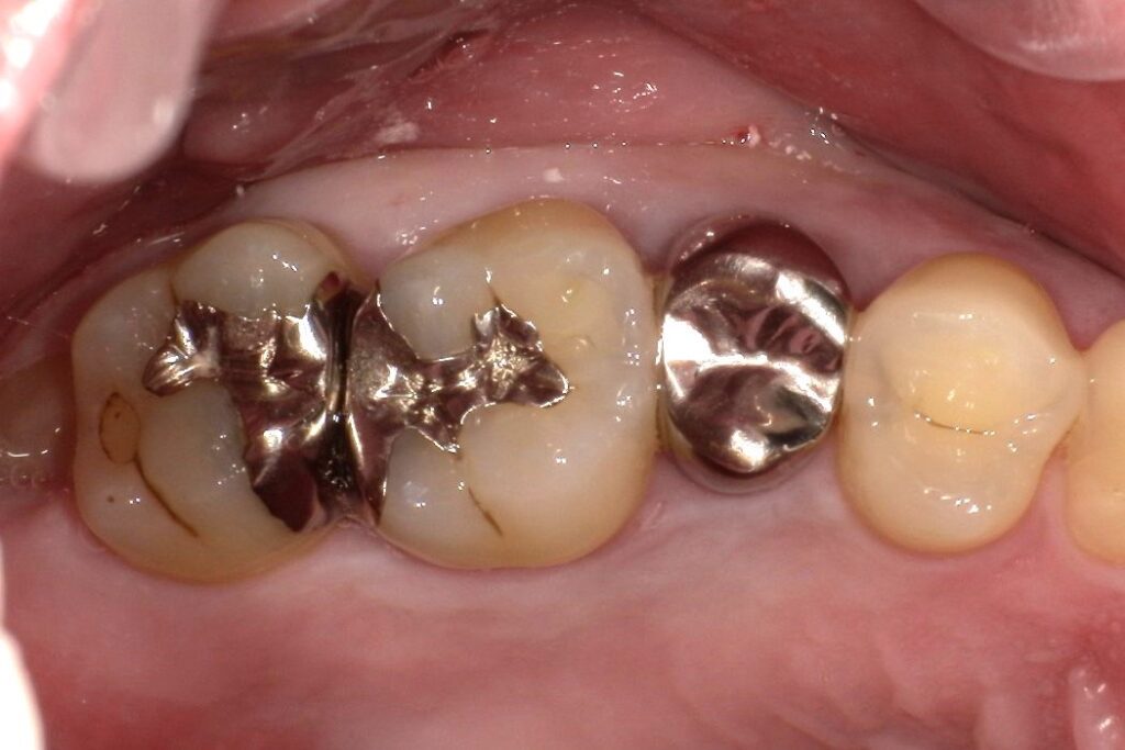
Case.01
治療前




治療後
| 主訴 | 虫歯を治したい。白く強度のあるものにしたい。 |
| 治療期間 | 1か月(3回) |
| 治療費 | 1本 ¥80,000+税 |
| 治療内容 | 右上4,5,6番目の虫歯を除去し、セラミックインレーを装着しました。 |
| 治療のリスク | 神経を温存しています。一時的に知覚過敏の症状が出ることがあります。また、咬合の強い方の場合、材料の破損の恐れがあり、夜間のマウスピースの装着をお勧めしております。 |
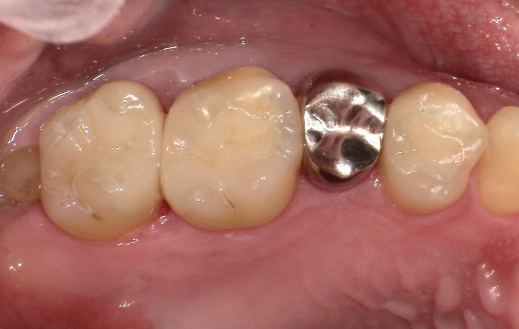
Case.02
治療前

治療後

| 主訴 | むし歯で歯が欠けてしまった。 |
| 治療期間 | 約6ヶ月 |
| 治療費 | 約¥100,000(被せ物代別) |
| 治療内容 | むし歯により抜歯となった部位(右上奥歯)に親知らずを移植。 |
| 治療のリスク | 移植歯がうまく定着しない可能性があります。また、長期的には△。 |


